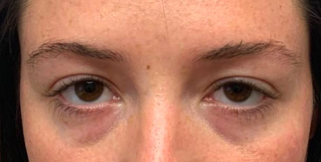
Relleno de ojeras
Sesión: 15 minutos.
Con el paso del tiempo los compartimentos grasos que tenemos en la cara se reabsorben y se exponen los vasos que hay detrás generando la ojera. También los ligamentos que tenemos en la órbita se distienden y hacen que la cara se caiga hacia abajo.
El tratamiento de la ojera se realiza con la reposición de la grasa perdida con ácido hialurónico reticulado que se coloca con pequeños pinchacitos en la órbita.
Si la ojera también presenta mucho color marrón o azulado se complementa con peeling o serum despigmentante o tratamiento con Carboxiterapia para las ojeras de color azul.
El tratamiento de la ojera se realiza con la reposición de la grasa perdida con ácido hialurónico reticulado que se coloca con pequeños pinchacitos en la órbita.
Si la ojera también presenta mucho color marrón o azulado se complementa con peeling o serum despigmentante o tratamiento con Carboxiterapia para las ojeras de color azul.
ANTES
DESPUES
Reservá tu turno
Contacto
- +5411 3593-7366
- Niceto Vega 4647, CABA, Buenos Aires, Argentina.
- @heneaestetica
